대출마왕
나보시안낭종 원인 및 증상 본문
나보시안낭종 원인 및 증상
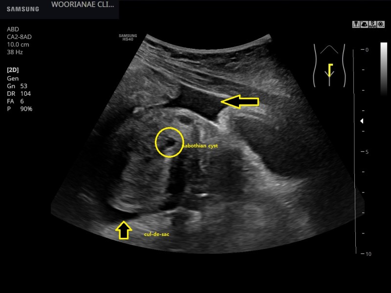
나보시안 낭종은 피부 세포가 자궁 경부의 점액 샘 출구를 막을 때 형성되는 작은 낭종 형태로 생기며 출산 및 자궁 경부에 대한 신체적 외상이 나보시안 낭종을 유발할 수 있습니다. 자궁 경부의 점액 샘은 정기적으로 점액을 생성하고 배출하는데 때로는 자궁 경부의 피부 세포가 이 점액 샘을 막으면서 분비샘에 점액을 가두면서 점액이 분비샘 내부에서 팽창하여 나보시안낭종을 만들기도 합니다.
자궁 경부 부위에 상처를 입으면 피부 세포는 해당 부위에서 상처를 치료하기 위해 세포분열이 증가합니다. 새로운 세포는 자궁경부의 조직에 가해진 손상을 복구하는 데 도움이 되기도 하지만 자궁 경부의 점액 샘을 차단하고 점액을 가두면서 나보시안낭종을 형성할 수 있습니다. 하지만 나보시안낭종은 통증, 불편함이나 다른 증상을 일으키지 않으므로 일상적인 검진을 하는 동안 발견되는 경우가 많습니다.
![]() |
![]() |
일반적으로 자궁경부는 월경 액이 자궁에서 질로 흐르고 정자가 질에서 자궁으로 들어갈 수 있도록 열려 있습니다. 그러나 임신 중에는 자궁경부가 닫히고 발달 중인 아기를 보호하게 되며, 아이가 태어난 후 점액선 위에 새로운 조직이 자라는, 화상이라고 하는 과정에서 피부 세포가 과도하게 생성되어 점액 샘을 차단하기도 합니다. 시간이 지남에 따라 점액 샘을 막으면서 나보시안낭종이 형성될 수 있습니다.
나보시안낭종 원인
임신 중인 여성은 과도한 피부 세포가 점액선에서 자라며 점액을 가두어 낭종을 형성할 수 있습니다. 또한 출산 중에 자궁 경부 주변의 물리적 외상은 치유 과정에서 점액선 위에 과도한 조직이 생겨 점액을 가두어 이러한 낭종을 유발할 수 있습니다. 신체적 외상으로 인한 낭종은 특히 자궁경부 조직에 염증이 생기는 만성 자궁경부염에서 회복하는 동안 흔하게 발생하게 됩니다.
여성은 누구나 나보시안낭종이 생길 수 있지만, 사춘기와 폐경 사이에 나타날 가능성이 더 큽니다. 특히 임신 중이거나 가임기일 때 나보시안낭종이 발생할 가능성이 더 커지게 되며 사춘기부터 폐경 이 시작될 때까지 발생할 수 있으며, 어떤 경우에는 40대 또는 50대에도 발생할 수 있습니다. 특히 임신 중에는 자궁 경부 내부의 피부 세포가 자라는 방식에 영향을 미치므로 분비샘을 차단하고 낭종을 생성할 가능성이 더 커지게 됩니다.
![]() |
![]() |
나보시안낭종 증상
나보시안낭종은 골반 검사 중에 발견되지 않는 한 낭종이 있다는 것 자체를 모를 수 있습니다. 드물게 불편함을 느끼게 하는 증상을 유발할 수 있어서, 질에 가벼운 압력이나 충만감, 성교통을 느끼기도 하며, 낭종이 파열되면서 낭종이 있었던 것을 알기도 합니다. 낭종이 터지면 점액과 소량의 혈액이 방출되어서 질 분비물로 나타날 수 있으며 냄새가 날 수 있지만, 증상은 일반적으로 오래가지 않습니다.
나보시안낭종은 점액의 양에 따라 이 낭종의 지름은 수 밀리미터에서 4㎝까지 다양합니다. 가까이서 보면 흰색 또는 노란색으로 보일 수 있습니다. 특히 큰 낭종이나 여러 개의 낭종이 생길 수 있으며, 드물기는 하지만 낭종이 너무 커져서 골반 검사 중에 의사가 자궁 경부에 접근하기 어려울 때도 있지만 대부분 증상이 거의 없으며 일상생활에 지장을 주지 않습니다.
![]() |
![]() |
나보시안낭종 치료
나보시안낭종은 대부분 일반적인 자궁 검사나 임신 검사 중에 우연히 발견되며 임신 중에 형성되는 것이 일반적입니다. 나보시안낭종은 작은 양성 종양으로 예방할 수 있는, 알려진 방법은 없지만, 건강에 위협을 주지도 않습니다. 나보시안낭종이 일상적인 생활을 하는 데 지장을 주지 않고 자궁경부나 비정상적인 골반 또는 자궁경부 세포진 검사에서 통증이나 불편함을 유발하지 않는 한 낭종에 대해 걱정할 필요가 없습니다.
나보시안낭종은 너무 흔하므로 골반 검사 중에 발견되기도 하지만 낭종이 불편하거나 너무 커서 일상적인 생활을 하기 어려운 경우가 아니면 치료가 필요하지 않습니다. 치료하더라도 대부분 수술이 필요하지 않으며 전기와 냉동 요법 등으로 쉽게 낭종을 제거할 수 있습니다. 또한, 암이 될 수 있는 세포가 있는지를 알기 어려운 경우 낭종을 잘라낼 수도 있습니다.





